¿Por qué aparecen manchas blancas en los dientes y cómo eliminarlas?

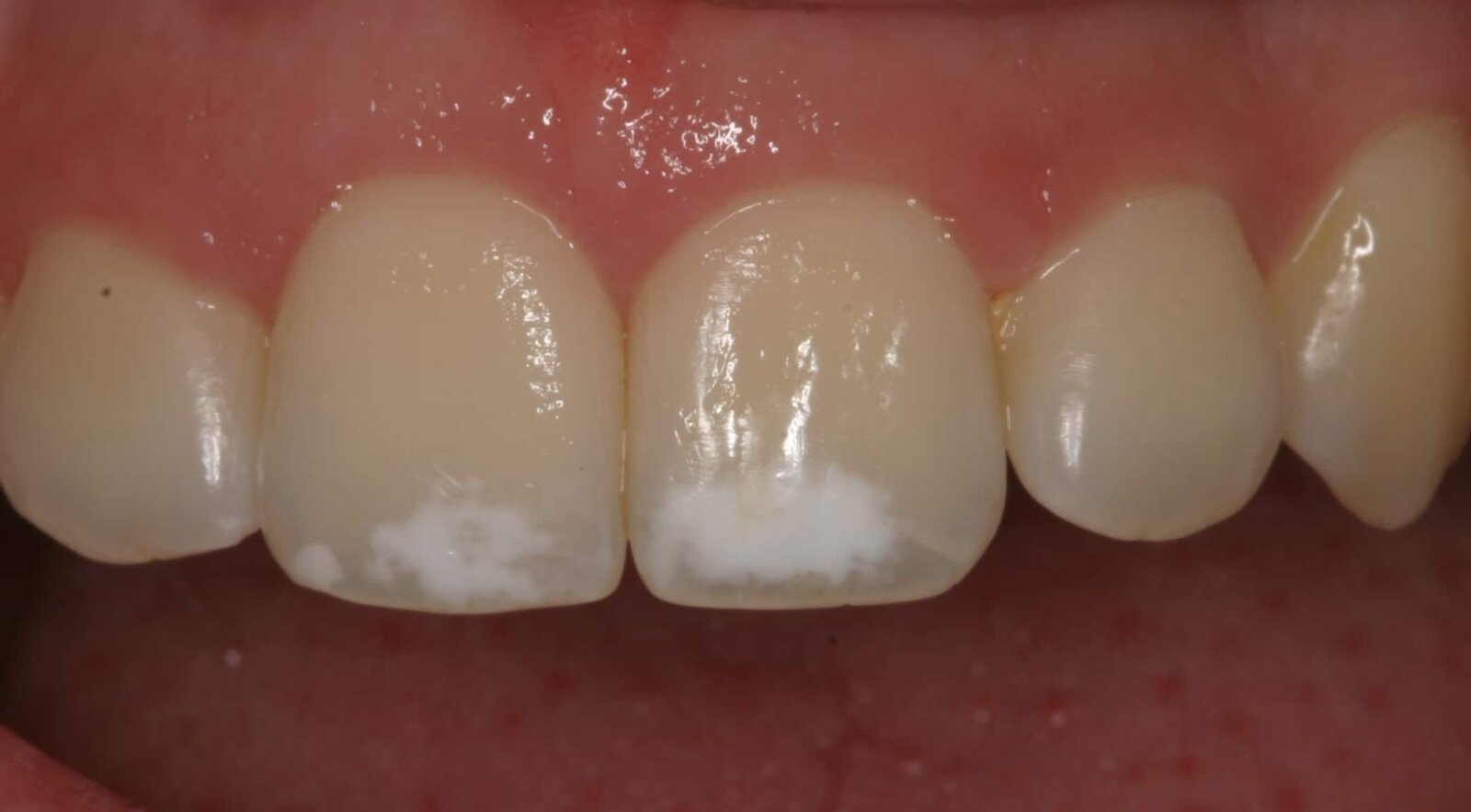
Las manchas blancas en los dientes son una alteración frecuente del esmalte dental y pueden aparecer por diversas razones, como un consumo excesivo de fluoruro, problemas en la formación del esmalte, caries tempranas o una alimentación rica en azúcares y ácidos.
Aunque por lo general no representan un riesgo para la salud dental, sí pueden afectar la apariencia de la sonrisa y llevar a muchas personas a buscar soluciones estéticas para devolver un color uniforme a los dientes.
Principales causas de las manchas blancas
El motivo de estas manchas puede variar según factores como la edad, la dieta o la cantidad de fluoruro a la que se haya estado expuesto. Entre las causas más comunes se encuentran:
Fluorosis dental: surge cuando durante la infancia se ingiere más fluoruro del recomendado. Se manifiesta como puntos o líneas blancas en el esmalte.
Hipoplasia dental: aparece cuando el esmalte no se desarrolla adecuadamente, algo que puede deberse a mala nutrición, infecciones, fiebre alta o exposición a toxinas durante el crecimiento.
Caries en etapa inicial: resultado de la desmineralización del esmalte por acción de bacterias y ácidos presentes en la placa, especialmente si la higiene no es adecuada o se usan brackets por tiempo prolongado.
Consumo habitual de alimentos ácidos o azucarados: estas sustancias debilitan el esmalte, favoreciendo la formación de manchas y aumentando la sensibilidad.
Opciones de tratamiento
Según el origen del problema, el odontólogo puede sugerir distintas alternativas para mejorar el aspecto del esmalte y evitar daños futuros:
Blanqueamiento dental: ayuda a igualar el tono del diente, aunque no siempre funciona en casos de fluorosis.
Microabrasión o macroabrasión: técnicas que retiran una delgada capa del esmalte para disminuir la visibilidad de las manchas.
Aplicación profesional de fluoruro: fortalece y remineraliza el esmalte, frenando el avance de caries tempranas.
Carillas dentales: láminas delgadas de resina o porcelana que cubren la superficie dental, ideales para manchas profundas o defectos notables.
Cómo evitar que aparezcan
La prevención depende en gran medida de una buena higiene y de mantener hábitos saludables. Cepillarse dos veces al día, usar hilo dental y reducir el consumo de azúcares y ácidos es fundamental. Además:
Supervisar el cepillado de los niños para evitar que utilicen demasiada pasta con fluoruro.
Preparar biberones o fórmulas infantiles con agua sin fluoruro cuando corresponda.
Fomentar hábitos saludables durante el embarazo, como evitar fumar.
En adultos, acudir regularmente al dentista permite detectar problemas en el esmalte con anticipación y recibir recomendaciones personalizadas para su tratamiento.
ENFERMEDADES: ¿Por qué el tamiz neonatal es vital para tu bebé en los primeros días de vida?
El tamiz neonatal es una herramienta fundamental que ayuda al personal de salud a detectar de manera temprana diversos problemas médicos en los recién nacidos, permitiendo intervenir antes de que provoquen daños irreversibles. Realizar esta prueba en los primeros días de vida -- leer más
Noticias del tema